
2021年5月22日
皆さんこんちには!
歯科衛生士の平田です。
まだまだ気温差が激しい日々が続いてますので体調には気を付けてください!
今回はブラケット矯正の歯磨きについてお話していこうと思います!
当院で言うと二期矯正です。
ブラケット矯正は簡単に言うと歯にボツボツを付けてワイヤーで歯を動かしていく矯正です。

この矯正は自分自身で取り外しが出来ず
物が詰まりやすかったり歯磨きがしにくいので汚れがたまりやすくなります。
なのでさぼってしまうとむし歯や歯周病、口臭になりやすくなってしまいます。
では、ブラケット矯正の歯磨きをお伝えしていきます!
当院ではブラケット矯正を始めた方に歯磨きセットをお渡ししています。
何が入っているかといいますと

1つ目は矯正用のブラシです。
2列歯ブラシでスリムベッドになっています。
歯と歯ぐきに優しく、装置周辺に入り込みやすいです。
2つ目はワンタフトブラシです。
小さな毛先を持つ歯ブラシです。
3つ目は歯間ブラシです。
これは2つのサイズの歯間ブラシが入っています。
L字型の歯間ブラシなので奥歯にも使いやすいです。
4つ目はフロススレッターです。
フロスを通しやすくしてくれるものです。
この4つが入っています。
それぞれの使い方をお伝えしていきます!
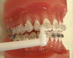
①装置の上下を磨く
歯ブラシを歯の表面に対して上から斜め45度に当てて、毛先を小さく動かしながら磨きます。
装置の上を磨けたら下も上と同様に45度にして磨きます。

②装置と装置の間を磨く(ワンタフトブラシ)
力をかけ過ぎないようにワイヤーの真下に軽く押し込むようにして汚れを落とします。
奥歯の装置と歯ぐきの間や1番奥の装置周りにも綺麗に磨いていきます。

③装置と装置の中を磨く(歯間ブラシ)
ワンタフトブラシが使いづらい場合に歯間ブラシを装置の両側に縦に入れて磨きます。
またワイヤーが曲げられるのでループが付いている所は歯ブラシだと当たらないのでループの下を歯間ブラシで磨きます。
④歯と歯の間の汚れを落とす
歯と歯の間は特にむし歯になりやすいので
是非フロスを使って頂きたいです。
フロスを肘くらいまでの長さを取ってもらいフロススレッターにフロスを通します。
針に糸を通すイメージです。
長いのと短いの状態を作ってもらいワイヤーの間にフロススレッターを通してからフロスを通します。

フロススレッターをワイヤーの間に通して、フロスはいつもと同様にのこぎりのように挿入し、左右の歯に沿わせて歯茎の中に入れたらのこぎりのように出してフロスを抜いてください。
通したら抜いてを1回1回してください。
少し大変ではあると思いますが頑張ってくだい!
今紹介した物全部使わなくて大丈夫です。
ご自身で使いやすいのを選んでもらい口の中を清潔に保ってください。
消耗品になるので1ヶ月くらいで交換してください。
紹介した商品は当院で全部揃ってますのでいつでも購入出来ます。
また分からないことありましたら
てらもと歯科医院までご連絡ください。
矯正してせっかく綺麗な見た目を目指して痛みに耐え頑張ってもそこでむし歯や歯周病になってしまったら勿体ないので是非日々の歯磨き、食生活に気をつけていただけたらと思います。
最後まで見ていただきありがとうございました。
当院では、患者さんが抱えていらっしゃるお口のお悩みや疑問・不安などにお応えする機会を設けております。どんなことでも構いませんので、私たちにお話ししていただけたらと思います。
ご興味がある方は下記からお問い合わせください。