
2022年2月1日
こんにちは!歯科助手の寄金です!
ついこの前年が明けたと思ったら、もうすぐ2月になりますね!
あっという間の1年、1ヵ月、1日・・・
1分1秒をも大切にしようとしみじみ思います!
最近、患者様に言われて嬉しかったことをお話しさせて頂きます!
初めての患者様の初診カウンセリングをしていた時に
「広島から最近、名古屋に引っ越してきて近くの歯医者を探している時に
てらもと歯科医院のホームページを見ていると“広島出身”と
あなたの紹介が書いてあったのを見たのがここを選んだきっかけなの!」
と言ってくださる方がいらっしゃいました!!!
“広島出身”というところの自己紹介まで見て下さったことに感謝ですし
何より私の自己紹介が数ある歯医者さんの中から
選んで頂いた理由だなんてとっても嬉しく思いました!
他にも「広島に行ったことがある」とか「広島の学校に行っていた」など
話しかけて下さる患者様も多くいらっしゃって、そのおかげで
コロナウイルスが流行してからは帰省することが中々難しくなっていた
地元をその度に思い出すことが出来ましたので
久しぶりに地元に帰省した気分になっております♪
県外から引っ越してきたという方も最近多く見られるので
そんな方にも安心してご来院頂けたらなと思います。
さて!ここからは本題に入らせていただきます!
今回は前回のつづきで口腔内写真についてです!
前回は口腔内写真をどのようにして撮影しているかを
ご説明させて頂きましたので、今回は口腔内写真がなぜ必要なのか
についてご説明できればと思います!
前回の投稿をまだ見ていない方は是非見てみて下さい!
口腔内写真について① ←前回の投稿はこちらをクリック☆
ではなぜ、定期的に撮影する口腔内写真が必要になってくるのでしょうか。
口腔内写真が必要な理由を4つご紹介しますね。
1つ目は、患者様のお口の状況を患者様ご自身で診て頂けることです。
もちろん鏡でも見ることが出来ますが鏡だと患者様からの視点と
私たちの視点は違って見える恐れがありますし
鏡では自分で見える角度に限界があると思います。
それに、お話しをしながら確認する時にもお写真の方が話しやすいですね。
例えもし、治療になったとしても「これから痛みのある
この黒くなった部分の治療をします。」など説明がしやすくなります。
2つ目は治療する前と後を比較出来ることです。
初めてご来院頂いた時のお写真を残しておくことで
初めての頃と比較出来るので、むし歯や歯周病などの進行具合を確認もできますし
矯正でご来院頂いている方は「前回ここにいた歯がここまで動いた」
「これからこの歯を動かしていく」などの矯正の進み具合や
これからの治療計画も写真があることにより説明をスムーズにすることが出来ます。
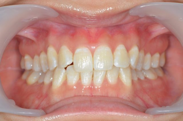
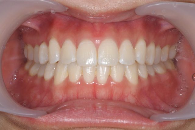
こちらは私の歯です!!!


上が矯正前、下が矯正後の写真です!
自分では綺麗になったと実感があっても家族からは
「どこが変わった?」なんて言われることもありました。
しかし、比べてみると歪んだ歯並びが綺麗になっているのが一目瞭然ですね!
3つ目は歯の成長の記録を保存しておけることです。
当医院では歯が生えてくる生後6カ月お子様から
小学生、中学生、高校生と成長段階のお子様にも通っていただいております。
特に小学生になると乳歯が抜けたり、大人の歯である6歳臼歯が生えてきます。
そこでお写真を撮らせて頂き、記録に残すことで「歯が生え変わる前は
綺麗に並んでいたのに、大人の歯になってからガタガタになった」などの比較が出来ます。
4つ目は、自然な色味を表現する際に用いられます。
当医院ではセラミックやジルコニアなど自費で被せ物を作るときに
元々ある色の見本の中からどの色が近いかを決めていきますが
歯の色味、グラデーションは人それぞれ違うので、
より一層、患者様ご自身の歯に近づけるために写真を撮って
その写真と一緒に技工士さんに送ります。
すると技工士さんがその写真を元に1つ1つ丁寧に仕上げていきます。
写真を撮ることによって治療のクオリティを上げているということです!
数ある歯医者から当医院を選んで頂いた以上、
当医院としてもクオリティの高い医療をお届けしたいと思い
日々、勉強や練習を積み重ねております。
そんな私ですが、実家のある広島へ移住するために
今年の4月いっぱいで退職することが決まりました。
広島から名古屋に引っ越してきてから
てらもと歯科医院で働かせていただくようになって
院長、スタッフ、患者さん、とても素敵な方々ばかりで
周りの方々に恵まれた3年半だったなと思います!!
これからも私の心の支えです!本当に感謝してもしきれません!!!
まだ、3月いっぱいまではてらもと歯科医院の歯科助手として
ご来院頂いた患者様のご期待に応えられるように精進して参りますので
これからもよろしくお願い致します!!!

最後までお読みいただきありがとうございました!
歯科助手 寄金
当院では、患者さんが抱えていらっしゃるお口のお悩みや疑問・不安などにお応えする機会を設けております。どんなことでも構いませんので、私たちにお話ししていただけたらと思います。
ご興味がある方は下記からお問い合わせください。