
2022年1月26日
みなさん、こんにちは!歯科助手の寄金です!
まだまだ寒い日が続きますね。
私は昔から寒い冬が好きで冬になると元気が出ます(笑)
趣味であるスノーボードにはぴったりの季節だからです(^^)/
みなさんはどの季節が好きですか??
さて、今回は、実際にどのような口腔内写真を撮っているのか
についてお話ししていこうと思います!
当医院での口腔内写真は、初めてご来院頂いた方へは必ず撮らせて頂き
それ以降は定期健診の際など3ケ月毎にお撮りしています。
実際には、どのようなお写真を撮らせていただくか
私の口腔内写真を元にご説明していきたいと思います!!
口腔内写真はワイダーというお口を広げる器具をつけて
合計6枚のお写真を撮影していきます。
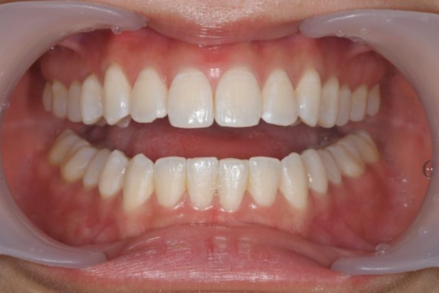
①お口を閉じたときの正面のお写真

普段お口を閉じている位置でしっかり奥歯で噛んで頂きます。
このお写真で、普段どこで噛んでいるかという噛み合わせを診ていきます。
②お口を少し開いた時の正面のお写真

お口を少し開けることで上下の歯並びやお口を開けたときの顎のゆがみなどを診ています。
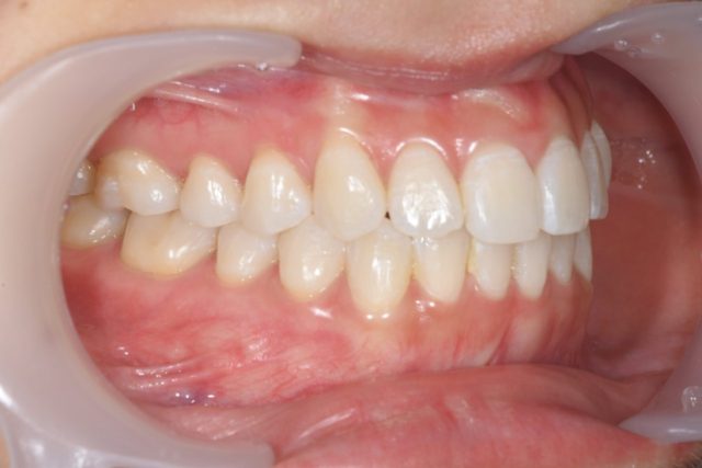
③お口を閉じたときの右側のお写真

ワイダーを引っ張って奥歯まで映しています。
右奥歯の頬側の汚れや歯茎の状態などを診ています。
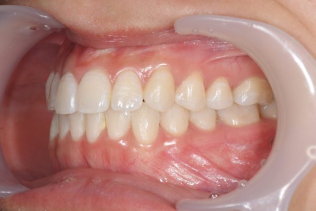
④お口を閉じたときの左側のお写真

お顔を大きく右に向いて頂き、ワイダーを引っ張って奥歯まで映しています。
左奥歯の頬側の汚れや歯茎の状態などを診ています。
⑤お口を大きく開けて頂き、鏡で上顎の噛み合わせを写したお写真

上の歯の噛み合わせ部分や歯並びを診ることが出来ます。
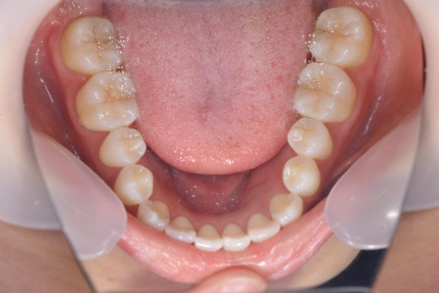
⑥お口を大きく開けて頂き、鏡で下顎の噛み合わせを写したお写真

下の歯の噛み合わせ部分や歯並びを診ることが出来ます。
基本的にはこの様に撮影していきます。
毎日の歯磨きで自分のお口の中を見ることはあるけれど
上の奥歯の歯や前歯の裏側はご自身でも簡単には見ることが出来ない部分だと思います。
そこで、このように口腔内写真を撮影することで
自分の歯並びはどうなのか、歯の汚れ、歯の黒いところはどこか
患者様ご自身でもお口の中を客観的に見ることが出来ますね!!!
口腔内写真は、スタッフの誰が撮っても同じ写真になるように
入社してすぐに規格を合わせて撮影する練習をします。
規格を合わせるとは、どういうことかと言うと
大きさや角度などを合わせて撮影することです。
規格を合わせることは最も大事なことで
規格を合わせないと以前撮影したお写真との比較が出来ません。
さらに、患者様へのご負担を少しでも減らすために
一発で撮影するというのもとても重要です。
その為、初めは私も含め、スタッフみんなとっても練習しました!
私も、空いている時間を見つけては、院長や先輩スタッフからアドバイスを頂きながら
お口の模型やスタッフのお口を借りて練習していました!
カメラが少し重たいけれど、片手で持たなければならない場面も多く
最初の頃はプルプルしながら撮影していました!
初めはピントや規格を合わせるのに苦戦しましたが
今では、後輩にアドバイス出来るくらいに上達したと思っていますが
院長と比べるとまだまだだなぁと思いますので
練習を怠らないようにしていこうと思います!
今回は実際にどんな口腔内写真を撮っているのかについてお話しさせて頂きました!
次回は口腔内写真の撮影がなぜ必要なのかをお話しできればと思います!
最後までお読みいただきありがとうございました!
歯科助手 寄金
当院では、患者さんが抱えていらっしゃるお口のお悩みや疑問・不安などにお応えする機会を設けております。どんなことでも構いませんので、私たちにお話ししていただけたらと思います。
ご興味がある方は下記からお問い合わせください。