
2025年12月3日
みなさんこんにちは、歯科衛生士の吉田です。
最近、九州へ旅行に行きました。形に残る思い出の品として博多織のはぎれを購入してきました。
母にアドバイスをもらいながら、帰宅するたびに少しずつ手縫いを進め、近々ショルダーバックが完成する予定です(*’ω’*)
素人ながら良い感じに進んでいるので、完成が楽しみです。
皆さんは、最近の楽しみなどはありますか?来院した際、ぜひ教えてくださいね。
歯科医院で「保険治療と自費治療、どちらにしますか?」と聞かれて、迷ったことはありませんか?
保険治療は費用を抑えられる一方で、素材や治療法に制限があります。 一方、自費治療は費用がかかる分、より自分に合った治療を選べるのが魅力です。
今回は、歯科の自費治療にはどんなメリットがあるのかご紹介します。
自費治療では、セラミックやジルコニアなど、保険では使えない高品質な素材を選ぶことができます。 これらの素材は、天然の歯に近い色や透明感を持ち、汚れが付きにくいので、見た目の美しさを追求したい方にぴったり。 「笑ったときに銀歯が見えるのが気になる…」という方には、自然な仕上がりが得られる自費治療は大きな安心につながります。
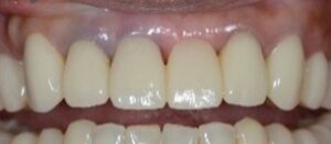
治療前
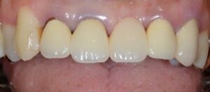
治療後
保険治療に比べて、自費治療は耐久性の高い素材を使用できるため、長期的に見て再治療のリスクが減ります。 噛み合わせや歯の形状も細かく調整できるので、食事のしやすさや話しやすさにもつながります。
自費治療では、インプラントや審美歯科、精密な入れ歯など、保険では対応できない治療法も選べます。 「歯を失ってしまったけれど、自然な見た目を取り戻したい」 「歯並びを整えたいけど、目立たない方法がいい」「ほかの歯に影響を与えず、治療をしたい」 そんな希望に寄り添えるのが、自費治療の強みです。
自費治療では、時間をかけてじっくりと治療を進めることができます。複数の歯の治療や、矯正、インプラント治療を含む場合には、特に詳しい検査の上でカウンセリングを実施します。治療方針や素材の選び方など、納得しながら進められるのが安心ポイントです。

歯の色や形、透明感まで細かく調整できる自費治療は、見た目にこだわりたい方にとって大きなメリット。 「写真を撮るときに口元に自信が持てるようになった」 「人前で話す仕事でも、笑顔に自信が持てるようになった」 そんな声も多く聞かれます。

もちろん、保険治療にも大切な役割があります。 しかし、自費治療は「自分に合った治療を選びたい」「見た目や機能性にこだわりたい」と思ったときの、ひとつの選択肢です。 費用面で迷うこともあるかもしれませんが、長期的な安心や満足感を考えると、価値のある投資になります。
歯の治療は、人生の質にも関わる大切なもの。悩んだ時にはご相談ください。
以上、吉田でした。
当院では、患者さんが抱えていらっしゃるお口のお悩みや疑問・不安などにお応えする機会を設けております。どんなことでも構いませんので、私たちにお話ししていただけたらと思います。
ご興味がある方は下記からお問い合わせください。