2022年5月11日
みなさまこんにちは。
歯科助手の平野です。
あっという間にゴールデンウィークも終わり気温も暑くなってきましたね。
マスクをしているのがしんどい気候にこれからなってきますが、まだまだ予断は許せない状況なのでコロナ対策を徹底していきましょう。
当院でも、皆様に安心してご来院頂けるように対策をしっかりしていければと思います。
さて、今回ブログでご紹介するテーマは歯科のレントゲンについてです。
みなさま、何故歯科ではレントゲンを撮影するかご存知でしょうか?
歯科で撮影するレントゲンは何種類かありますが、ベーシックな2種類を今回ご紹介していきます。
全体のお口のレントゲンをお撮りするのがパノラマレントゲンです。

顔の正面のみを写しても歯はカーブしていて全体が撮れないので、顔周りをグルッと写しレントゲン上では顔の下半分ほどが平面に見えるようになっています。
(パノラマレントゲンの見え方)
・歯科レントゲンで白く映るもの
歯牙・骨・金属などの人工物(被せ物・矯正装置等)…
・歯科レントゲンで黒く映るもの
むし歯・膿・皮膚・筋肉…
(パノラマレントゲンでわかること)
・現在の歯の本数
・子供の乳歯から永久歯への生え変わりの状態
・目視では見えない埋伏過剰歯や埋伏歯
・歯が通常の本数より少なくないか(先天性欠如歯)
※乳歯ー基本20本、永久歯ー親知らず含めず基本28本
・親知らずの抜歯の診断
※神経が近い親知らずの場合、設備のより整った大きい病院をご紹介
※当院で抜く場合の時間(30分・1時間)
・全体的なむし歯の進行状態の確認
・全顎の歯周病の進行度合いや骨のボリューム
・顎の状態
・上顎洞の位置や形態
上記のように、目視では見ることができず気づけないお口の内部の全体の状態もこちらでは確認することができるのです!!
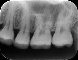
続いて、3~4本ほどのもっと詳細な歯の状態を確認できるのがデンタルレントゲンです。

(デンタルレントゲンでわかること)
・より精密なむし歯の進行状態
・歯と歯の間の見えにくい隣接面のむし歯
・根っこの治療後に薬がしっかり根の先の方まで入っているかどうかの確認
・より精密な歯周病の進行状態(骨の減り具合等)
・根っこの先端に膿がたまっている場合の状態確認
・インプラントの状態や周囲の骨の状態確認
こちらは歯に違和感を感じられたり痛いしみるなどの症状がある場合、撮らせていただいています。
また、患者様よりレントゲンの被ばく線量を心配されるお声をよく聞きます。

このように、歯科のレントゲンの被ばく線量はとても微々たるものなのです。
さらに鉛入りの防護服も着て頂いていますのでさらにカットされています。
※ただし使用しているレントゲンの種類等により数値は多少前後します。
いかがでしたでしょうか。
このように歯の状態をしっかりと確認するために、当院では基本的に1年に一度くらいのペースでパノラマレントゲンを撮らせていただき、お変わりがないかチェックさせていただいています。
そして、患者様のお口の状態をわかりやすくお伝えするようにしています。
自分では歯の状態が黒くなってきていたり症状が出ない限り歯の異変には気付きにくいと思います。
是非、ずっと自分の歯を残していくためにも痛くなったりの症状が出てからではなく、
定期検診からご来院いただき沢山気になることをご質問頂ければと思います。
みなさまのご来院、てらもと歯科医院スタッフ一同
お待ちいたしております。
当院では、患者さんが抱えていらっしゃるお口のお悩みや疑問・不安などにお応えする機会を設けております。どんなことでも構いませんので、私たちにお話ししていただけたらと思います。
ご興味がある方は下記からお問い合わせください。