
2023年2月1日
みなさんこんにちは。
歯科助手の平野です。
あっという間に2月になりましたね。
寒い日が続いていますので、早くあったかくなって欲しいです。
さて、今回のテーマは「歯ぎしり」です。
先日、衛生士の平田が歯の硬さや歯ぎしりについて投稿しておりました。
https://www.tera-dental.com/2023/01/05/1851/
今回は私の経験談をご紹介できたらと思います。
歯ぎしり・くいしばりなどの治療方法は現在の段階ではありません。
ただ、身体におよぼす影響はなかなか大きいのです。
私自身がかなり昔から歯ぎしりをしていて悩んでいます。
みなさんもお困りの方は多いのではないでしょうか。
原因や予防・改善できる可能性のある方法などをご紹介しちょっとでも
お役に立てればと思います。
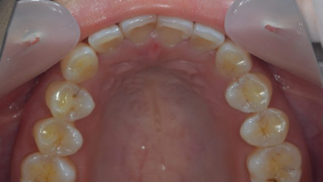
まず、私の現状としましてはこれだけ歯が減ってしまっています。

外のエナメル質という硬い組織が削れに削れ中の象牙質という組織が見えてしまっています。

見ていただくとわかるように、私はこの位置で常に寝ている時に歯ぎしりをしているようです。

そして、歯ぎしりしている音はかなり大きく「ギシギシ」「ゴリゴリ」「カチカチ」
などの恐ろしい音をたてていました。
※実際に自分がソファーでうたた寝してしまうことが多く、その時にどうなっているのかを録音してみました。
→スタッフにも聞いてもらったらあまりの音にビックリされました。
ソファーのひじ掛けに頭をのせて寝ることが多いのですが、そうすると
普段ベットで仰向けに寝ているのと比べ顎をかなり引きぎみで
何時間も寝ていることになるので余計に歯に負担がかかっているのかと思われます。
同じようにうたた寝をしてしまう方は要注意です!!
サファイアくらいの硬さと言われる歯が削れるのでは相当な力がかかっているのでしょう。
ひどい時の自覚症状としては、朝起きた時に奥歯がズーンと痛む・顎が痛い
・削れてる歯がハミガキをするとしみるなどなどです。
(歯ぎしりの原因として考えられているもの)
(身体に与える影響)
・歯が摩耗する(こすれて削れる)、欠ける
・歯周炎、歯槽膿漏、歯肉炎など歯周組織への症状が現れやすくなる
・顎関節症になり口が開けにくくなる
・頭痛や肩こりの原因になる
などなど個人差はありますが、上記の影響が出る可能性があげられるそうです。
(解決方法)
①ナイトガード装着
→夜寝る時に歯への直接の負担を減らすためのクッションとして使用
②噛み合わせの調整
③質の良い睡眠をとる
④ストレスの軽減
⑤顎の筋肉をほぐす
→こちらはほぐし方などがYouTubeに載っていて、院長も患者さんに
紹介していた内容なのでリンクを載せておきます。
よろしければご覧ください。
上記の中で、当院で対応できますのは①と②です。
ただし②に関しては状況によりますので一度ご相談下さい。
今回あげさせていただいた解決方法に関しては、絶対に治るわけではなく
あくまで体への負担を軽減する可能性のあるものです。
私自身も色々と試しています。
ちなみに夜寝る時はナイトガードをつけて寝ています。
最初は違和感・不快感なども強かったですし、朝はズーンとした
歯の疲れもありましたが、使ううちに慣れていきました。
ただ、つけていてもなかなか多少音はしているようです。
歯への直接の負担を少なくするようにこれからもかかさずつけるようにしていきます!
ちなみに意外と自分では寝ている時や普段くいしばったり歯ぎしりしたりが気付かない人も多いです。
そんな方は、自身のお口の中を見てみてください。

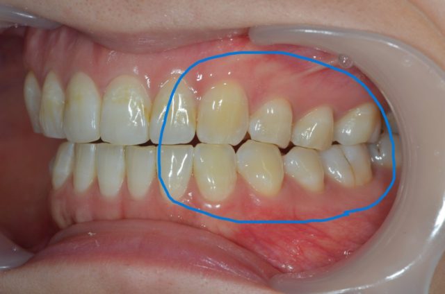
このボコボコしているのは骨隆起と言われ、歯にグーと力がかかったり
負担がかかっている人に見られることが多いようです!

通常はこのような形です。
歯に色々な悩みをお持ちの方は、是非ご相談下さい。
みなさまのご来院お待ちしております。
当院では、患者さんが抱えていらっしゃるお口のお悩みや疑問・不安などにお応えする機会を設けております。どんなことでも構いませんので、私たちにお話ししていただけたらと思います。
ご興味がある方は下記からお問い合わせください。