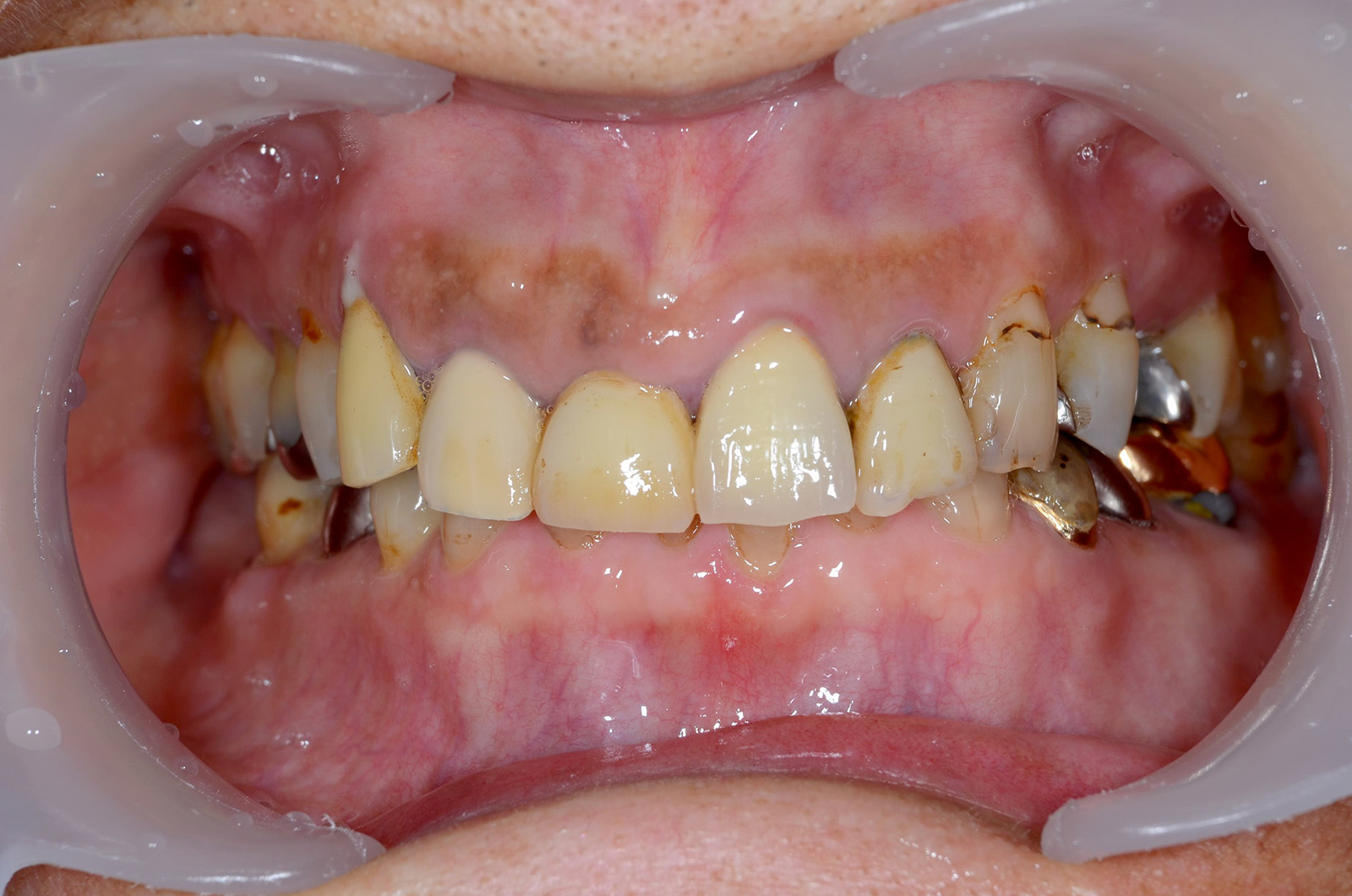
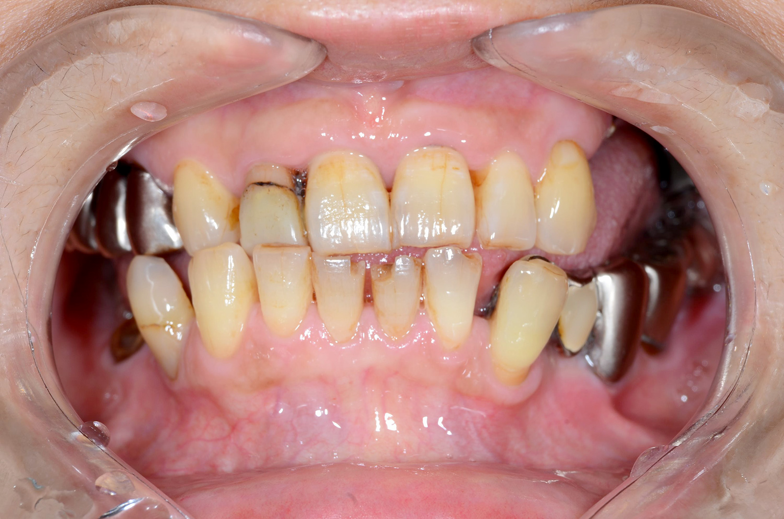
虫歯や歯周病が原因で
「歯がボロボロ」の方へ
以下のようなお悩みをお持ちの方は、ぜひ当院へお越しください。
- トラウマがあって、歯科医院が苦手
- お口の中を見られるのが恥ずかしい
- 治療時の独特な痛みに耐えられない
- 望んでいない治療をされないか不安

以下のようなお悩みをお持ちの方は、ぜひ当院へお越しください。






歯がボロボロの患者さんは、それぞれ抱えている悩みがあります。虫歯や歯周病になりやすい体質の方もいらっしゃいますが、ほとんどの場合は、過去のトラウマによって歯科医院への苦手意識が拭えないのではないでしょうか。
・治療時の「痛み」に耐えられない
・歯科医師に「自分の話」を聞いてもらえなかったことがある
・「治療方針」に納得できないまま治療が進められた
・「無駄な治療」をされたことがある
こういった過去の経験がきっかけとなって、歯科医院に通えなくなってしまった方も多いのではないでしょうか。
しかし、そこに患者さんの非はありません。なぜなら歯科医院側の心がけ次第で改善できる点だからです。

てらもと歯科医院では、安心して治療を受けていただけるよう、次のような取り組みを徹底しています。
・治療時の痛みを軽減
・説明責任の徹底
・プライバシーに配慮
・精密機器の充実
以下、詳しくご紹介します。
歯科治療に対して「痛い」「不快」「怖い」といったイメージをお持ちの患者さんは少なくありません。当院ではさまざまな方法で、痛み、不快感、恐怖心を軽減しています。

注射をする部位に、あらかじめ麻酔液をしみ込ませることで、麻酔時の痛みを軽減させられます。

当院では「カートリッジウォーマー」と呼ばれる機器で麻酔液を温めてから使用します。体温と麻酔液の温度に差があるほど、痛みを感じやすくなるからです。

注射針が細ければ細いほど、注射時の痛みは抑制できます。当院では、医療機関向けに販売されている注射針の中でも、もっとも細い針を採用しています。

急激に麻酔液を注入すると、細胞が膨張するため痛みを感じます。そのため当院では、電動麻酔注射器を使用しています。麻酔液の注入を一定に保つことができるので痛みを感じにくくなります。

お口の中には痛みを感じやすい部位と感じにくい部位があります。当院では、痛みを感じにくい部分をしっかりと見極めて注射をしています。

歯を削る際の「キュイ〜ン!」という音や「ガガガッ」という振動は、ほとんどの人が不快に感じるものです。
しかし、当院が使用している「5倍速コントラ」は、他の歯科医院が使っている「タービン」に比べて、歯を削る音や振動を最小限に抑えることができます。
患者さんが持たれる恐怖感やストレスを軽減できるのです。

てらもと歯科医院は、「治療方針の決定権は患者さんにある」という前提でお話しを進めます。
歯科治療は、大切な歯を削ったり、歯肉を切ったりと、患者さん自身の身体にも少なからず負担がかかります。そのため、歯科医師が独断で治療方針を決めるようなことがあってはならないと考えています。
もちろん、お口の専門家として、最善の治療方法をご提案します。しかし最終的な治療判断は、患者さんにしていただきたいのです。ときには、複数の治療法をご提案することもあるでしょう。どの治療法も「必要十分」な治療です。
しかし、患者さん自身が治療内容や、治療を行う意味をご理解いただけないときは、治療を進めません。どのような治療を行うのか、事前にしっかりとご説明いたします。わからないこと、気になることがあれば、納得がいくまで遠慮なくご質問ください。


てらもと歯科医院には「個室」の診療室が設けられています。周囲を気にせず落ち着いた空間で治療を受けたい方や、治療内容などを誰にも聞かれたくない方でも安心して通院いただける環境です。
効果的な治療を行う上で、歯科医師のスキルは必要不可欠なものです。一方で人間の技術には限界があるのも実情です。その限界を超えてくれるのが精密機器だと言えます。精密機器の使用は、再発リスクの軽減などにも寄与します。
当院で導入している精密機器の一部をご紹介します。

歯を立体的に撮影できる画像診断装置が「CT」です。レントゲン検査では把握することができない、骨の厚さ、骨の中にある歯の状態、神経や血管の位置などを、立体的に映像化します

ボロボロの歯を放置していると、お口の中だけでなく、身体と心にも悪影響を及ぼします。
なぜならボロボロの歯が原因で噛み合わせが悪くなると、頭痛、肩こり、腰痛といった、さまざまな身体の不調を引き起こすとがあるからです。
また、「歯周病」は昨今下記のような重篤な病気との関連性も指摘されています。
・糖尿病
・心筋梗塞
・脳梗塞
・肥満
・早産/低体重出産

また、身体だけでなく心への影響も見逃せません。
ボロボロの歯を気にして、人前で話すことが億劫になってはいないでしょうか。
「食事が楽しくない」「思い切り笑えない」といった精神的ストレスを抱え続けていれば、いずれ抑うつ状態になる可能性もあります。
だからこそ患者さんに伝えたいことがあります。
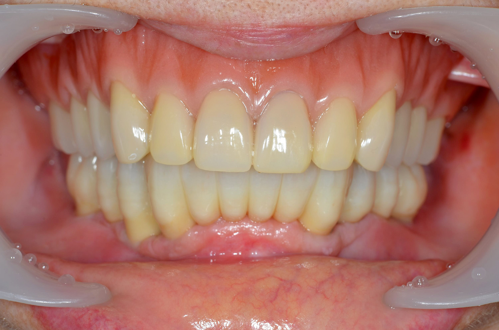
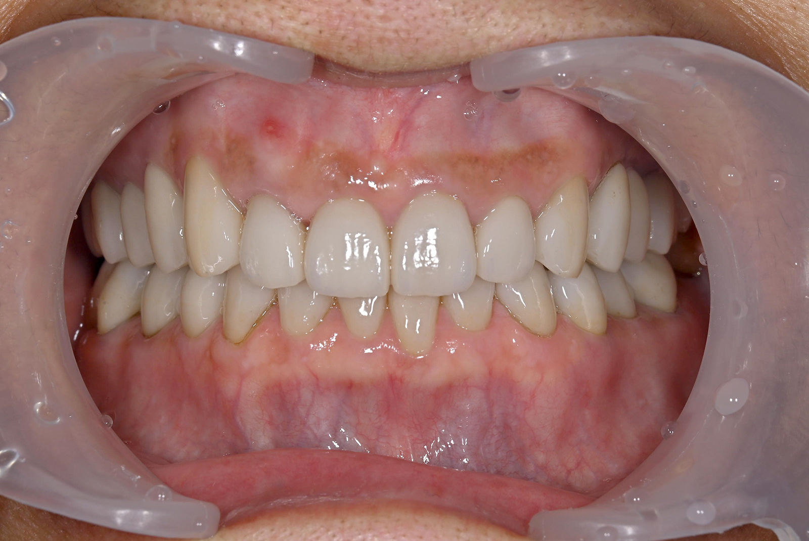
ボロボロの歯でも、ちゃんとした歯科医院で治療を行えば、必ず美しい歯を取り戻せます。
お一人で悩まずに、ぜひ当院へいらしてください。
てらもと歯科医院では、強く治療を勧めたり、独断で治療を始めるようなことはいたしません。歯科医院や担当医の雰囲気を感じるためだけでも構いませんので、まずはお越しいただければと思います。
当院では、患者さんが抱えていらっしゃるお口のお悩みや疑問・不安などにお応えする機会を設けております。どんなことでも構いませんので、私たちにお話ししていただけたらと思います。
ご興味がある方は下記からお問い合わせください。