ただ、美しいだけじゃない。
美しく、しっかり噛める歯を創造します。

ご相談は無料です。お気軽にお問い合わせください。
ガミースマイルの治療も行っています。


ご相談は無料です。お気軽にお問い合わせください。
ガミースマイルの治療も行っています。


















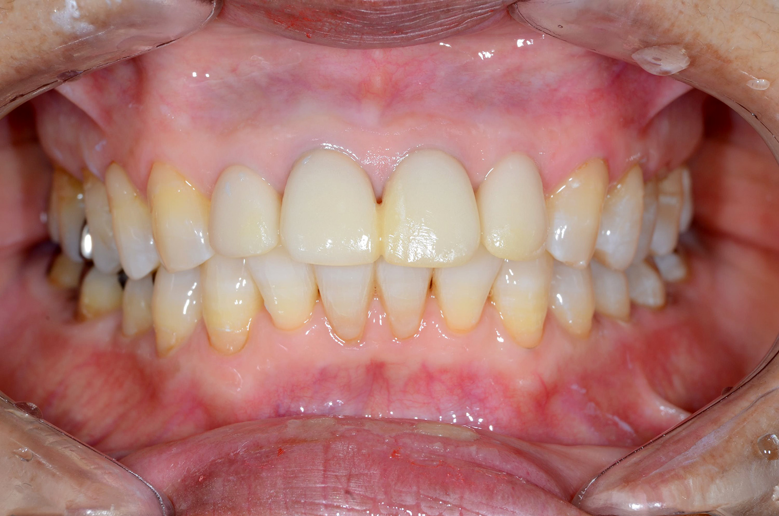
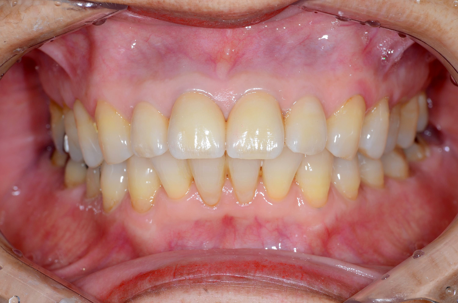
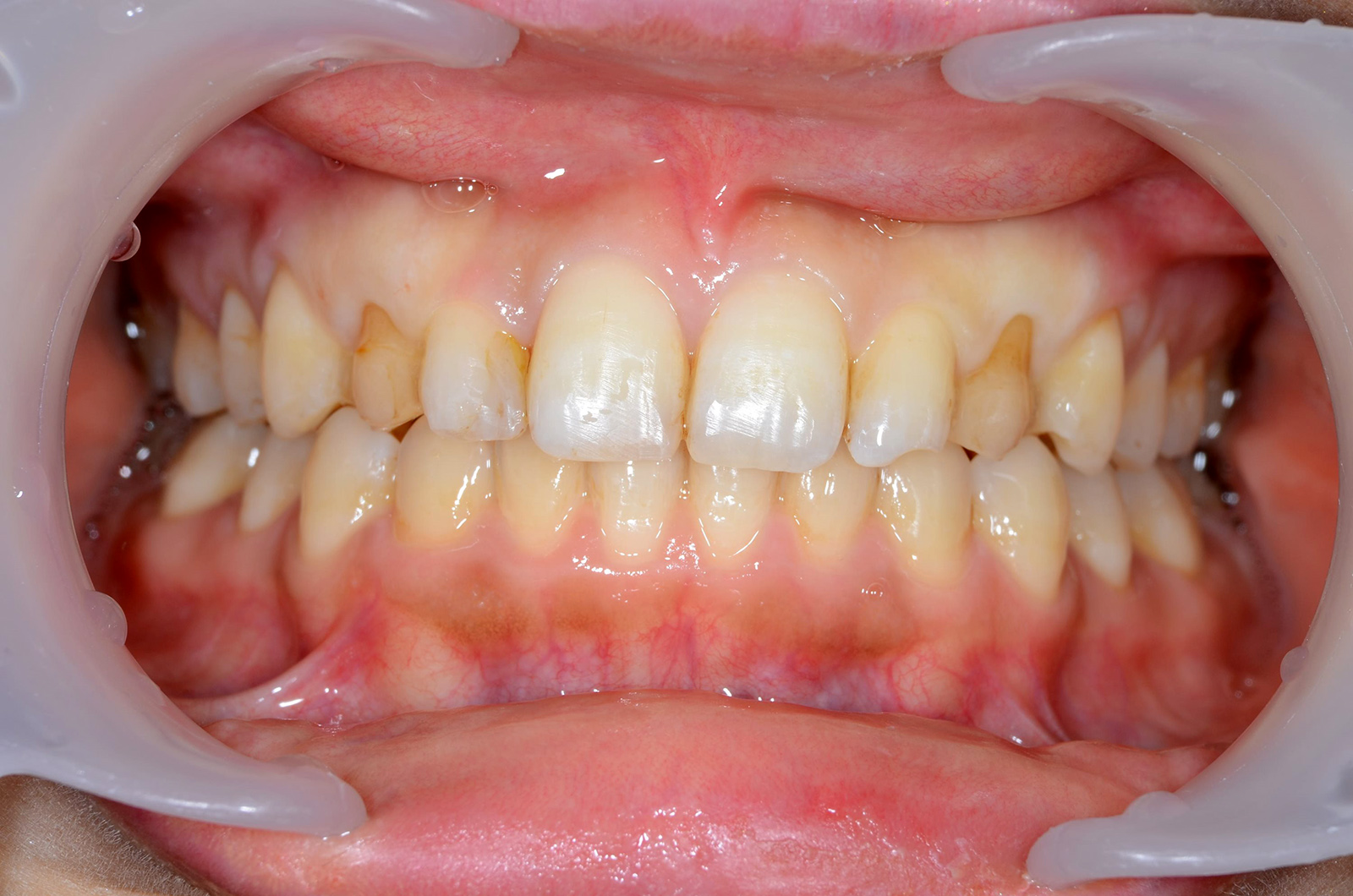
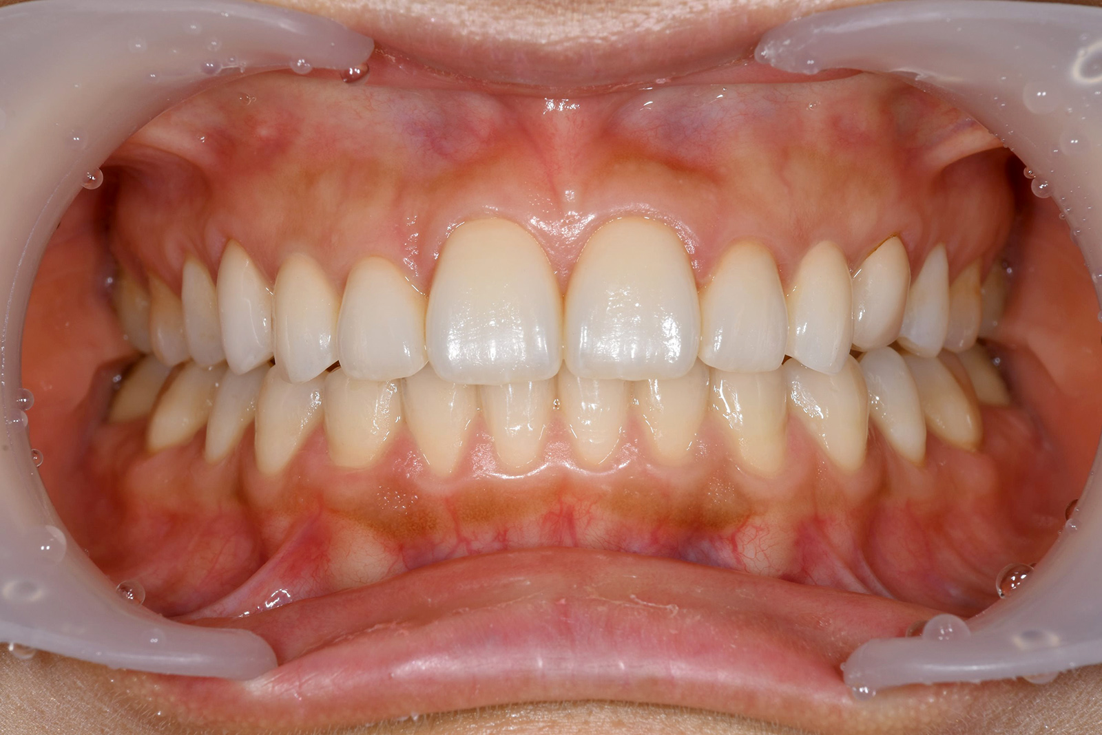
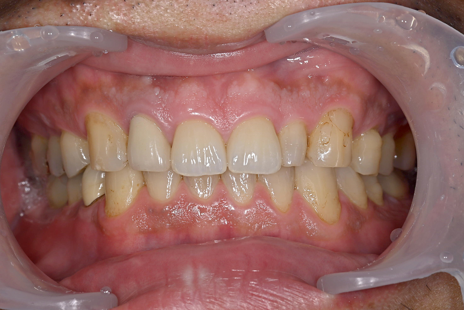
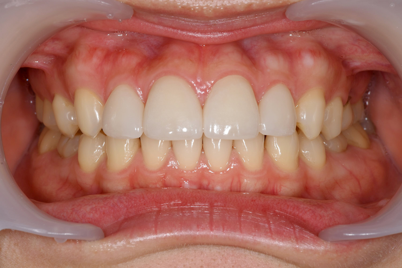
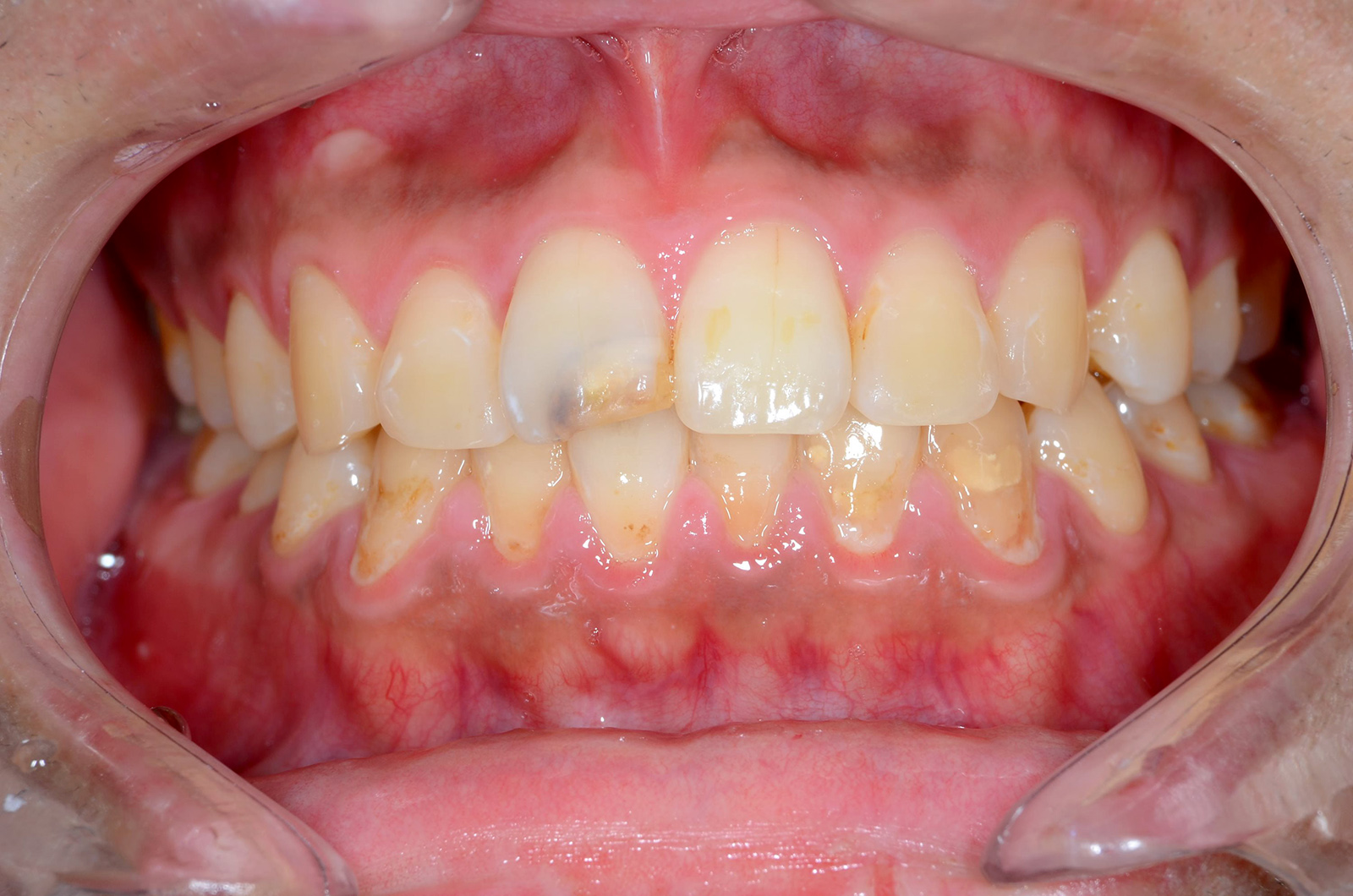
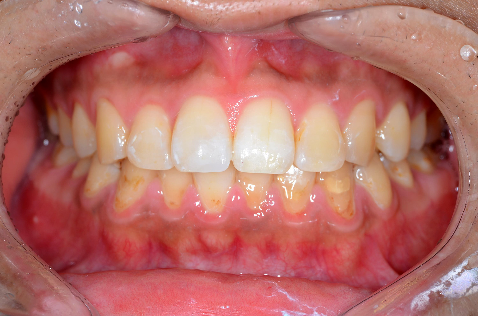
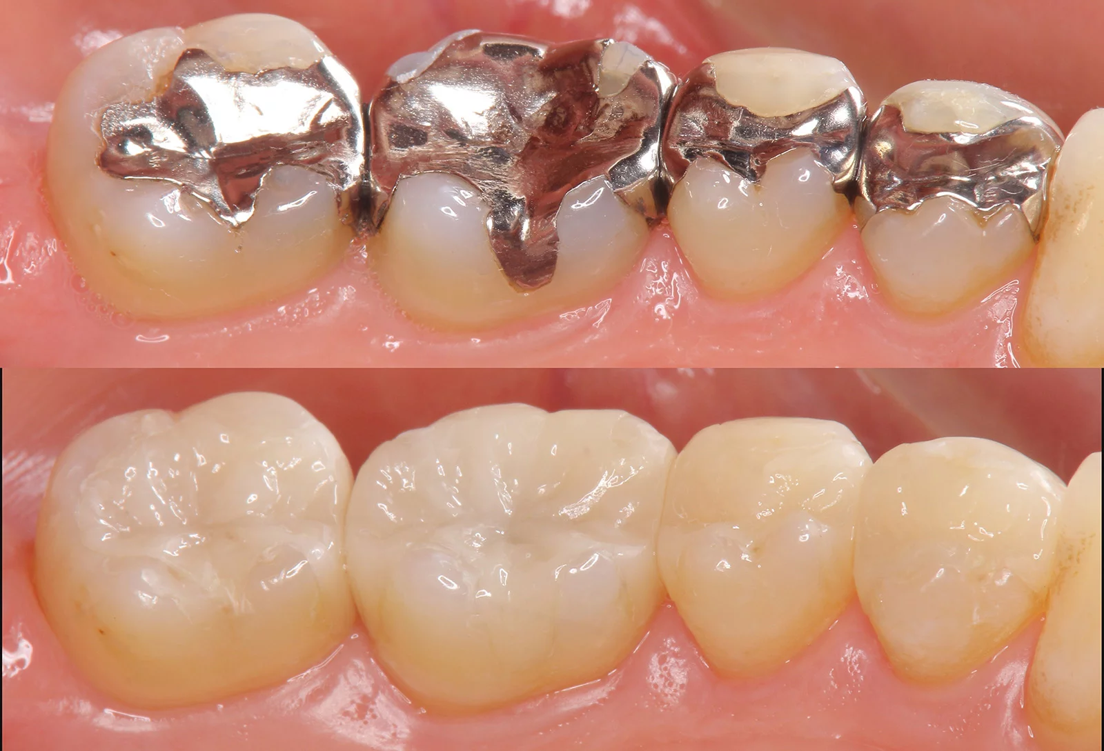
セラミック治療とは、美しいお口元を作る治療法です。しかし、歯は、単に美しくすればよいというものではありません。当院のセラミック治療は、「美しく、しっかり噛める歯」を作り出します。
以下で、当院の取り組みをご紹介します。

患者さんの理想とする美しさを実現するために、治療を行う各ステップで担当医とイメージのすり合わせを行います。

治療前のカウンセリングでは、患者さんが理想とする歯のイメージを詳細に伺います。
歯の色のサンプルや模型も参考にしながら、具体的なイメージを共有しましょう。

患者さんの歯形を取ったら模型を作製します。模型を使用することで、歯の形や配置の具体的なイメージを共有できます。
歯の形ができ上がったら、仮歯を作り、お口に合わせて調整をします。

セラミック治療は、単にお口元が美しくあればよいというものではありません。噛み合わせもしっかり調整しなければ、顎関節症といったトラブルの原因となります。
模型を使用して患者さんと医師の間でイメージのすり合わせができたら、仮歯(プロビジョナル・レストレーション)を作製します。仮歯をしばらく装着していただき、患者さんの理想とする形とズレがないか、噛み合わせの面で問題が生じていないかを最終確認します。特に注意する点は以下の通りです。
・噛み合わせに問題はないか
・きちんと噛むことができているか
・耐久性に問題がないか
噛み合わせについては特に慎重にチェックを行い、何度でも仮歯を調整します。患者さんに納得していただけたら、仮歯をもとにして最終的な被せ物を完成させます。

光学スキャナーとは、デジタル機器でお口の中を撮影し、お口の形のデータを取り込む装置です。
従来、お口の中のデータを得るためには、粘土のような型取り剤をお口に入れて、固まるまで待っていただく必要がありました。しかし、光学スキャナーにより、このストレスは一切なくなりました。

当院では、患者さんの主観的な「美」の理想を叶えるだけでなく、専門的な観点から見た「客観的な美しさ」の実現も融合させた、セラミック治療に取り組んでいます。
治療を進めていく上で私たちが大事にしているポイントは以下の通りです。

笑ったときに、下唇のアーチと歯並びのアーチを一致させると、お口元の美しさを際立てることができます。
山崎長郎著『エステティック クラシフィケーションズ(クインテッセンス出版)』より引用

「中切歯(1.618)」:「側切歯(1)」:「犬歯(0.618)」の配列にすることで、前歯の審美性は格段に向上します。
山崎長郎著『エステティック クラシフィケーションズ(クインテッセンス出版)』より引用

顔の真ん中を通るラインである「正中線」と、上の前歯の中心ラインを合わせると、全体的にバランスが取れた美しい歯並びになります。

お口元を美しく見せる上では、「歯茎」も重要な役割を果たします。歯茎の生物学的幅径に考慮した、適合性のよい被せ物を製作します。

「ダイレクトボンディング」とは、樹脂とセラミックを配合した「コンポジットレジン」という白い詰め物を入れる治療法です。コンポジットレジンは、セラミックに比べて短時間で硬化する特長があり、一度の来院で、すべての治療が完了することもあります。
ダイレクトボンディングは、次のような方にお勧めです。
・欠けた歯を低価格で治療したい
・小さな虫歯をすぐに治したい
・銀歯の詰め物を、低価格で白い詰め物に置き換えたい
大きな被せ物でなければ対応できないような症例は対象外となりますので、一度お問い合わせください。

ガミースマイルとは、お口を開けると極端に歯茎が露出してしまう状態を指します。この症例にお悩みの方は大勢いらっしゃいますが、対応できる歯科医院は決して多くありません。
当院では、歯の色や形を美しくするだけでなく、歯周外科的なアプローチで歯肉を整えることが可能です。これにより、「ガミースマイル」も改善できるのです。
詳しくはご相談ください。

セラミック治療に使用する被せ物は、「歯科技工士」と呼ばれる専門家が作製します。当院は、多くの歯科医師の信頼を集める一流の歯科技工士、山北耕治氏に製作を依頼しています。

| 1998年 | 広島大学歯学部附属歯科技工士学校 卒業 |
|---|---|
| 1998年 | 吉木デンタルクリニック(名古屋)勤務 |
| 2004年 | 大阪セラミックトレーニングセンター 卒業 |
| 2004年 | AuCeram(U.S.A)勤務 |
| 2008年 | 有限会社ファイン(奈良)勤務 |
| 2008年 | AuCeram(U.S.A)勤務 |
| 2012年 | Infinite Dental Laboratory 設立 |
当院では、患者さんが抱えていらっしゃるお口のお悩みや疑問・不安などにお応えする機会を設けております。どんなことでも構いませんので、私たちにお話ししていただけたらと思います。
ご興味がある方は下記からお問い合わせください。